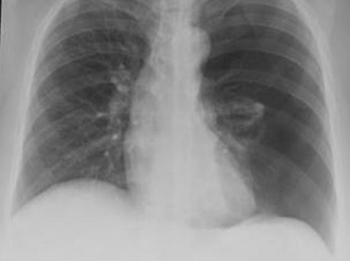
Pneumothorax Chest Tube : CXR showing right sided chest tube and resolution of pneumothorax. | Download Scientific Diagram / Collapsed lung (pneumothorax)—this occurs when air has built up in the area around the lungs (the pleural space) from a leak in the lung.

Pneumothorax Chest Tube : CXR showing right sided chest tube and resolution of pneumothorax. | Download Scientific Diagram / Collapsed lung (pneumothorax)—this occurs when air has built up in the area around the lungs (the pleural space) from a leak in the lung.. How does a chest tube work for a pneumothorax? Collapsed lung (pneumothorax)—this occurs when air has built up in the area around the lungs (the pleural space) from a leak in the lung. Why do i need a chest tube? Chest tube insertion for pneumothorax or hematothorax.this video will show you how to insert a chest tube for a pneumothoraxthis patient has multiple rib fra. How long does it take to recover from a pneumothorax?

6 a larger pneumothorax, or one that involves a large air leak, may need a chest tube of 24f to 28f connected to a drainage system with suction applied. Chest tubes should be removed in a staged manner so as to ensure thatthe air leak into the pleural space has resolved (good consensus). Thefirst stage requires that a chest radiograph demonstrates completeresolution of the pneumothorax and that there is no clinical evidenceof an ongoing air leak. How do you fix a pneumothorax? How long does it take to recover from a pneumothorax?

SGEM#300: The Lung is Up Where it Belongs - With or Without a Chest Tube | The Skeptics Guide to ...
SGEM#300: The Lung is Up Where it Belongs - With or Without a Chest Tube | The Skeptics Guide to ... from www.thesgem.com
Tube thoracostomy standard practice is to place a chest tube for any pneumothorax occurring during mechanical ventilation, due to the risk of positive pressure expanding the pneumothorax into a tension pneumothorax. Chest tube insertion for pneumothorax or hematothorax.this video will show you how to insert a chest tube for a pneumothoraxthis patient has multiple rib fra. How does a chest tube work for a pneumothorax? Common reasons why a chest tube is needed include: However, if the leak or pneumothorax is large, then subcutaneous emphysema or an expanding symptomatic pneumothorax is more likely. This leak may be the result of lung disease. How do you fix a pneumothorax? Treating pneumothorax in the icu:

Feb 01, 2001 · chest tube removal.

What is the standard treatment for a pneumothorax? 6 a larger pneumothorax, or one that involves a large air leak, may need a chest tube of 24f to 28f connected to a drainage system with suction applied. Chest tube insertion for pneumothorax or hematothorax.this video will show you how to insert a chest tube for a pneumothoraxthis patient has multiple rib fra. This leak may be the result of lung disease. How long does it take to recover from a pneumothorax? More images for pneumothorax chest tube » Treating pneumothorax in the icu: Feb 01, 2001 · chest tube removal. Tube thoracostomy standard practice is to place a chest tube for any pneumothorax occurring during mechanical ventilation, due to the risk of positive pressure expanding the pneumothorax into a tension pneumothorax. Collapsed lung (pneumothorax)—this occurs when air has built up in the area around the lungs (the pleural space) from a leak in the lung. Aug 01, 2005 · keeping chest tubes on water seal is safe for most patients with an air leak and a pneumothorax. Thefirst stage requires that a chest radiograph demonstrates completeresolution of the pneumothorax and that there is no clinical evidenceof an ongoing air leak. How do you fix a pneumothorax?

Why do i need a chest tube? Chest tubes should be removed in a staged manner so as to ensure thatthe air leak into the pleural space has resolved (good consensus). Thefirst stage requires that a chest radiograph demonstrates completeresolution of the pneumothorax and that there is no clinical evidenceof an ongoing air leak. Common reasons why a chest tube is needed include: What is the standard treatment for a pneumothorax?

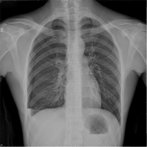
Chest x-ray showing bilateral pneumothorax with a flattened diaphragm... | Download Scientific ...
Chest x-ray showing bilateral pneumothorax with a flattened diaphragm... | Download Scientific ... from www.researchgate.net
Why do i need a chest tube? How does a chest tube work for a pneumothorax? How do you fix a pneumothorax? Tube thoracostomy standard practice is to place a chest tube for any pneumothorax occurring during mechanical ventilation, due to the risk of positive pressure expanding the pneumothorax into a tension pneumothorax. A prospective randomized trial is needed to compare water seal to suction in these patients This leak may be the result of lung disease. Aug 01, 2005 · keeping chest tubes on water seal is safe for most patients with an air leak and a pneumothorax. Common reasons why a chest tube is needed include:

Chest tubes should be removed in a staged manner so as to ensure thatthe air leak into the pleural space has resolved (good consensus).

Chest tube when the fluid or air does not resolve within a few days. Aug 01, 2005 · keeping chest tubes on water seal is safe for most patients with an air leak and a pneumothorax. A prospective randomized trial is needed to compare water seal to suction in these patients Thefirst stage requires that a chest radiograph demonstrates completeresolution of the pneumothorax and that there is no clinical evidenceof an ongoing air leak. Feb 01, 2001 · chest tube removal. Ultrasound imaging also may be used to identify a pneumothorax. Treating pneumothorax in the icu: Chest tube insertion for pneumothorax or hematothorax.this video will show you how to insert a chest tube for a pneumothoraxthis patient has multiple rib fra. Collapsed lung (pneumothorax)—this occurs when air has built up in the area around the lungs (the pleural space) from a leak in the lung. This leak may be the result of lung disease. More images for pneumothorax chest tube » How do you fix a pneumothorax? Why do i need a chest tube?

Why do i need a chest tube? Common reasons why a chest tube is needed include: Aug 01, 2005 · keeping chest tubes on water seal is safe for most patients with an air leak and a pneumothorax. Tube thoracostomy standard practice is to place a chest tube for any pneumothorax occurring during mechanical ventilation, due to the risk of positive pressure expanding the pneumothorax into a tension pneumothorax. A prospective randomized trial is needed to compare water seal to suction in these patients

Catamenial pneumothorax: A case report
Catamenial pneumothorax: A case report from www.jpma.org.pk
Why do i need a chest tube? Chest tubes should be removed in a staged manner so as to ensure thatthe air leak into the pleural space has resolved (good consensus). Collapsed lung (pneumothorax)—this occurs when air has built up in the area around the lungs (the pleural space) from a leak in the lung. Thefirst stage requires that a chest radiograph demonstrates completeresolution of the pneumothorax and that there is no clinical evidenceof an ongoing air leak. However, if the leak or pneumothorax is large, then subcutaneous emphysema or an expanding symptomatic pneumothorax is more likely. Feb 01, 2001 · chest tube removal. Ultrasound imaging also may be used to identify a pneumothorax. Common reasons why a chest tube is needed include:

What is the standard treatment for a pneumothorax?

Aug 01, 2005 · keeping chest tubes on water seal is safe for most patients with an air leak and a pneumothorax. Collapsed lung (pneumothorax)—this occurs when air has built up in the area around the lungs (the pleural space) from a leak in the lung. How long does it take to recover from a pneumothorax? What is the standard treatment for a pneumothorax? Chest tube insertion for pneumothorax or hematothorax.this video will show you how to insert a chest tube for a pneumothoraxthis patient has multiple rib fra. Treating pneumothorax in the icu: Thefirst stage requires that a chest radiograph demonstrates completeresolution of the pneumothorax and that there is no clinical evidenceof an ongoing air leak. Ultrasound imaging also may be used to identify a pneumothorax. How do you fix a pneumothorax? A prospective randomized trial is needed to compare water seal to suction in these patients Chest tubes should be removed in a staged manner so as to ensure thatthe air leak into the pleural space has resolved (good consensus). How does a chest tube work for a pneumothorax? Why do i need a chest tube?

This leak may be the result of lung disease pneumothorax. Chest tube insertion for pneumothorax or hematothorax.this video will show you how to insert a chest tube for a pneumothoraxthis patient has multiple rib fra.